找好医生 上美大夫
Toggle navigation
首页
找靠谱医生
点评
咨询
看医美百科
文章
案例
自媒体文章
关于我们
首页>
案例详情>
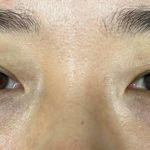
患者术前两侧上睑不对称,眼皮较为下垂,要求改善上眼睑的形态
成***
女
31-35岁
上海·徐汇区
患者术前两侧上睑不对称,眼皮较为下垂,要求改善上眼睑的形态
诊断报告
面诊结论:
患者术前两侧上睑不对称,眼皮较为下垂,要求改善上眼睑的形态
变美方案:
需要做全切,切除多余的皮肤和多余的脂肪,重新形成新的双眼皮
医疗过程:
手术采用全切法,取7mm重睑线,切除部分多余的皮肤,切除多余的眶隔脂肪,重新固定
变美过程
拆线日·术后7天
素颜
求美者
术后上睑形态明显改善。
医生
术后7天已经明显消肿,虽然做了全切,但是由于采用了微创的操作,所以术后没有应用任何辅助药物的情况下,已经明显消肿了。接下去还会继续消肿,双眼皮形态会更佳自然。
以前的Ta