找好医生 上美大夫
Toggle navigation
首页
找靠谱医生
点评
咨询
看医美百科
文章
案例
自媒体文章
关于我们
首页>
案例详情>
牙齿不整齐,不美观要求变整齐
马***
男
21-25岁
海南·海口
牙齿不整齐,不美观要求变整齐
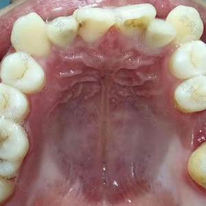
诊断报告
面诊结论:
牙齿重度拥挤,深覆合、26、46牙缺失
变美方案:
全口自锁直丝弓拔牙矫正 调整上下牙列咬合关系(前牙达正常覆合覆盖)
参考价格:
12000元
医疗过程:
排齐整平上下牙列 关闭26牙间隙
变美过程
持续变美期·术后553天
求美者
变化比想象的要好的多
医生
比较认真负责,方案合理
以前的Ta