找好医生 上美大夫
Toggle navigation
首页
找靠谱医生
点评
咨询
看医美百科
文章
案例
自媒体文章
【付费】
关于我们
首页>
医生列表>
陆南杭个人主页
陆南杭
咨询医生
预约见面
4.4
上海复旦大学附属中山医院整形外科
擅长:
双眼皮
自体脂肪隆胸
口唇整形术
各类美容手术,主要包括:1、抽脂术,包括脂肪填充移植;2、各类乳房整形,包括男性乳房发育、隆乳、乳房再造、奥美定注射后乳房修复等;3、双眼皮、开眼角、眼袋等眼综合手术;4、隆鼻、鼻翼缩小、鼻尖整形等鼻综合手术;5、生殖器整形,包括包皮环切、小阴唇整形等;6、微整形,包括玻尿酸、注射注射等 皮肤软组织肿瘤的诊断与治疗,包括黑色素瘤、鳞癌、基底细胞癌等肿瘤的诊治;7、嘴唇整形,包括m唇等
教育经历:
执业经历:
自我介绍:
复旦大学上海医学院整形外科学博士,师从我国著名整形外科专家亓发芝教授。ASJ中文版青年编委、上海市中西医结合整形外科分会青年委员。具有整形外科领域多年的临床经验,擅长口唇整形、眼综合整形、乳房整形、抽脂、微整形、皮肤软组织肿瘤等疾病的诊治。
跟我联系
截屏保存图片
微信扫一扫,关注美大夫公众号
get 陆南杭医生咨询入口!
↓↓↓
经典案例
before
after
成***
女
31-35岁
上海 徐汇区
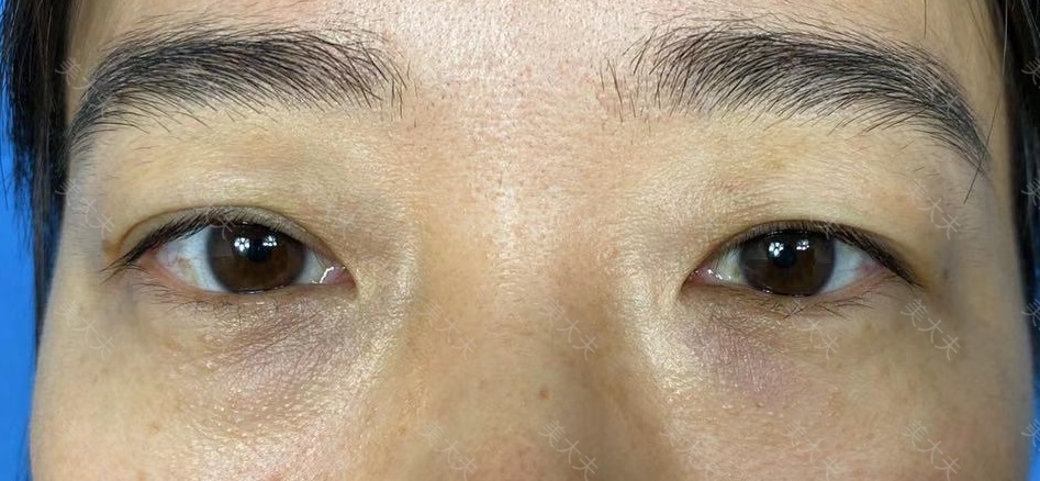
“患者术前两侧上睑不对称,眼皮较为下垂,要求改善上眼睑的形态”
变美方案:需要做全切,切除多余的皮肤和多余的脂肪,重新形成新的双眼皮
切开双眼皮
before
after
阳***
女
26-30岁
上海 黄浦区
“患者上唇较为肥厚,对下唇尚满意,因此要求形上唇“M”形改薄手术。”
变美方案:患者上唇相对较为肥厚,厚度甚至超过下唇,因此显得并不美观,具备做上唇改薄的条件。患者唇珠、唇峰等上唇标志点较为突出,在现有基础上增强唇珠、唇峰的表现力即可达到非常性感的“M”唇效果。
M唇手术
加载更多
在线点评
蒋***
消费: ¥300
优质评价
审核通过
医术精湛,医德高尚!我在就诊时陆医生给我很大帮助,仔细询问病情,精心做出诊疗方案,加上精湛的医术,使我很快痊愈!非常感谢陆医生!谢谢!
吸脂术
脂肪塑形
来源:好大夫@蒋***
提到医生:
陆南杭
邱***
消费: ¥5097
优质评价
审核通过
我在我朋友的建议下去中山医院找陆南航医生看腋臭。经外科整形手术,目前已没有异味,感谢陆医生诊断明确、技术高超。术后复检,陆医生细心指导术后恢复护理。陆医生我们患者值得拥有!谢谢您!
吸脂术
脂肪塑形
来源:好大夫@邱***
提到医生:
陆南杭
江***
消费: ¥5052
优质评价
审核通过
女朋友之前有腋臭,特别是一到夏天气味很难闻,这次我同事推荐我来找中山医院的陆南航医生,手术预约后当天做当天出来,特地等了几天看看效果再评论,现在是一点味道也没有了,非常感谢陆老师。
吸脂术
脂肪塑形
来源:好大夫@江***
提到医生:
陆南杭
赵***
消费: ¥5000
优质评价
审核通过
陆医生服务态度很好,技术一流,诊断仔细准确手术过程中很让人放心,对待病人很有耐心,很用心,很关心病人的情况,有时手术很晚结束也要过来查一下患者情况,值得信赖。谢谢陆医生,非常感谢!
吸脂术
脂肪塑形
来源:好大夫@赵***
提到医生:
陆南杭
郑***
消费: ¥5000
优质评价
审核通过
被腋臭困扰好几年了,特别是一到夏天那味道太刺鼻,别人都不敢靠近。这次我叔推荐我来找陆医生,我叔也是腋臭在陆医生这里做过手术后痊愈了,真的很感谢陆医生,非常敬业。住院的时候也照顾的很周到,现在痊愈了很开心。再次感谢陆老师。
吸脂术
脂肪塑形
来源:好大夫@郑***
提到医生:
陆南杭
汪***
消费: ¥10000
优质评价
审核通过
女朋友一直想开双眼皮,同事的姐姐推荐了中山陆医生。 陆医生非常负责,手术前后交代得非常详细,很仔细。手术效果女朋友很满意,形状很不错,而且切口比较短,没有她闺蜜在其他医院开的肿得那么厉害。 感谢陆医生,祝您工作顺利!
吸脂术
脂肪塑形
来源:好大夫@汪***
提到医生:
陆南杭
在线咨询
**咨询陆南杭医生
共25条对话
2020-10-27 00:36:11
**咨询陆南杭医生
共0条对话
2025-08-04 12:03:16
**咨询陆南杭医生
共4条对话
2022-03-08 23:39:37
**咨询陆南杭医生
共0条对话
2021-12-05 12:55:20
**咨询陆南杭医生
共4条对话
2021-10-28 20:30:34
上海闵行区唐**咨询陆南杭医生
共2条对话
2021-08-26 23:50:03
上海浦东新区**咨询陆南杭医生
共7条对话
2021-08-17 14:46:11
**咨询陆南杭医生
共6条对话
2021-04-27 10:32:27
**咨询陆南杭医生
共5条对话
2021-04-12 23:18:22
**咨询陆南杭医生
共7条对话
2021-04-06 19:38:43
安徽**咨询陆南杭医生
共4条对话
2021-04-02 12:38:02
北京东城区刘**咨询陆南杭医生
共7条对话
2021-03-04 09:52:51
江苏无锡**咨询陆南杭医生
共5条对话
2021-02-16 19:47:52
**咨询陆南杭医生
共4条对话
2021-02-09 20:33:38
**咨询陆南杭医生
共5条对话
2021-02-06 18:43:19
湖北仙桃**咨询陆南杭医生
共23条对话
2021-01-25 14:58:41
上海上海**咨询陆南杭医生
共7条对话
2021-01-24 13:19:00
**咨询陆南杭医生
共10条对话
2021-01-21 12:42:40
**咨询陆南杭医生
共17条对话
2021-01-15 21:39:05
上海静安**咨询陆南杭医生
共2条对话
2021-01-15 16:09:15
**咨询陆南杭医生
共5条对话
2021-01-15 03:43:51
**咨询陆南杭医生
共6条对话
2020-12-30 07:53:20
广东汕头**咨询陆南杭医生
共7条对话
2020-12-24 14:35:27
辽宁沈阳赵**咨询陆南杭医生
共6条对话
2020-12-16 02:16:44
**咨询陆南杭医生
共6条对话
2020-12-14 21:59:56
上海上海**咨询陆南杭医生
共6条对话
2020-12-04 13:34:52
**咨询陆南杭医生
共11条对话
2020-12-02 20:23:36
**咨询陆南杭医生
共11条对话
2020-11-22 09:54:24
上海上海**咨询陆南杭医生
共5条对话
2020-11-20 22:51:53
**咨询陆南杭医生
共17条对话
2020-11-18 20:27:09
**咨询陆南杭医生
共11条对话
2020-11-14 21:59:47
**咨询陆南杭医生
共29条对话
2020-10-31 00:52:24
江苏无锡**咨询陆南杭医生
共13条对话
2020-10-31 00:52:16
**咨询陆南杭医生
共7条对话
2020-10-31 00:50:25
江苏无锡**咨询陆南杭医生
共11条对话
2020-10-31 00:50:17
山东泰安**咨询陆南杭医生
共2条对话
2020-10-31 00:50:08
**咨询陆南杭医生
共17条对话
2020-10-31 00:49:41
**咨询陆南杭医生
共23条对话
2020-10-30 00:46:54
江苏无锡**咨询陆南杭医生
共10条对话
2020-10-30 00:46:05
江苏南通**咨询陆南杭医生
共8条对话
2020-10-30 00:45:51
广西防城港**咨询陆南杭医生
共9条对话
2020-10-30 00:45:47
浙江宁波**咨询陆南杭医生
共9条对话
2020-10-29 00:43:24
上海上海**咨询陆南杭医生
共6条对话
2020-10-29 00:42:24
山东莱芜**咨询陆南杭医生
共8条对话
2020-10-28 00:41:16
**咨询陆南杭医生
共5条对话
2020-10-28 00:41:15
**咨询陆南杭医生
共9条对话
2020-10-28 00:39:58
江苏**咨询陆南杭医生
共11条对话
2020-10-28 00:39:49
**咨询陆南杭医生
共10条对话
2020-10-28 00:39:14
**咨询陆南杭医生
共6条对话
2020-10-28 00:38:50
**咨询陆南杭医生
共6条对话
2020-10-27 00:37:46
**咨询陆南杭医生
共9条对话
2020-10-27 00:37:40
**咨询陆南杭医生
共7条对话
2020-10-27 00:36:21
**咨询陆南杭医生
共32条对话
2020-10-26 00:35:20
福建**咨询陆南杭医生
共11条对话
2020-10-26 00:34:28
山东济南**咨询陆南杭医生
共12条对话
2020-10-26 00:34:19
山东临沂**咨询陆南杭医生
共8条对话
2020-10-26 00:33:56
**咨询陆南杭医生
共16条对话
2020-10-26 00:33:50
**咨询陆南杭医生
共13条对话
2020-10-26 00:33:37
江西九江**咨询陆南杭医生
共6条对话
2020-10-26 00:33:19
**咨询陆南杭医生
共20条对话
2020-10-26 00:33:15
**咨询陆南杭医生
共12条对话
2020-10-26 00:32:45
山东泰安**咨询陆南杭医生
共11条对话
2020-10-26 00:32:40
福建漳州**咨询陆南杭医生
共7条对话
2020-10-25 00:30:25
**咨询陆南杭医生
共7条对话
2020-10-25 00:29:49
浙江台州**咨询陆南杭医生
共21条对话
2020-10-24 00:27:46
浙江金华**咨询陆南杭医生
共7条对话
2020-10-24 00:27:17
中国**咨询陆南杭医生
共12条对话
2020-10-24 00:26:36
山东青岛**咨询陆南杭医生
共4条对话
2020-10-24 00:26:05
**咨询陆南杭医生
共7条对话
2020-10-24 00:26:05
**咨询陆南杭医生
共16条对话
2020-10-24 00:26:00
江苏苏州**咨询陆南杭医生
共4条对话
2020-10-24 00:25:44
上海上海**咨询陆南杭医生
共4条对话
2020-10-24 00:25:40
安徽滁州**咨询陆南杭医生
共13条对话
2020-10-24 00:25:25
**咨询陆南杭医生
共4条对话
2020-10-24 00:25:20
上海上海**咨询陆南杭医生
共40条对话
2020-10-24 00:25:14
吉林四平**咨询陆南杭医生
共39条对话
2020-10-23 00:24:25
江苏淮安**咨询陆南杭医生
共5条对话
2020-10-23 00:24:12
安徽宿州**咨询陆南杭医生
共5条对话
2020-10-23 00:23:07
上海杨浦孙**咨询陆南杭医生
共4条对话
2020-03-11 00:14:44
想要变好
共25条对话
2020-03-11 00:11:24
医生文章
陆医生谈整形——自体脂肪移植隆胸:你想知道都在这里
2019-11-21 20:25:32
乳房是女性重要的第二性征,丰满坚挺的乳房是女性魅力的标志之一。尽管随着生活水平的提高,我国年轻女性的罩杯呈增大趋势;但以笔者日常工作接触的情况来看,仍然有不少青年女性受到“贫乳”或“小乳症”的困扰,从而需要到整形外科咨询隆胸的事宜。 隆胸的手术方式目前就两种:一种是假体植入,另一种便是自体脂肪移植。 目前研究结果显示,假体植入隆胸是长期安全有效,但是有一部分女性不愿意在自己体内放入植入物,于是
陆医生谈整形——双眼皮怎么才能不肿
2019-11-21 20:06:19
重睑手术(俗称的双眼皮手术)是整形外科常规手术,在我国,每年有大量的求美者接受重睑手术。 手术后局部肿胀是重睑手术的常见术后并发症:大多数肿胀随着时间的延长会逐步消退,极少数肿胀消退十分缓慢,影响手术后美观效果。肿胀常常会使新形成的重睑过于宽大和不自然,给求美者本人造成一定的心里压力。 那么双眼皮手术如何才能不肿呢? 答案在于“减小创伤”四字。水肿是机体对创伤的自然反应,创伤大、水肿就
什么是腋臭的微创治疗?
2019-11-21 20:00:26
腋臭的微创治疗目前并没有一个统一的概念,究竟多大的切口属于微创范畴,众说纷纭,甚至有某些医院用所谓“米粒”切口等标榜所谓的微创手术。 那么,究竟什么是腋臭的微创治疗? 笔者看来,腋臭的微创治疗其实需要包括两方面:第一是切口小,瘢痕不明显,甚至看不到瘢痕;第二是术后恢复快,可以较早地恢复术后正常活动,减少限制患者活动的时间,并发症少。 复旦大学附属中山医院整形外科陆南杭 先看第一点,切口小
加载更多
截屏保存图片
微信扫一扫,关注美大夫公众号
get 陆南杭医生咨询入口!
↓↓↓